Images & Videos
Abdominal and Pelvic CT

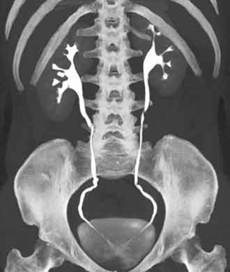
A 3D reconstructed CT view of the kidneys and ureters, which connect the kidneys to the bladder. Part of the ribs, spine and pelvis are included in this image.
Note: Images are shown for illustrative purposes. Do not attempt to draw conclusions or make diagnoses by comparing these images to other medical images, particularly your own. Only qualified physicians should interpret images; the radiologist is the physician expert trained in medical imaging.


