Images & Videos: Chest X-ray

Items 1 to 10 of 28 - Click images to view larger

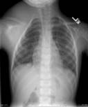
Example of a pediatric patient's chest x-ray. A lesion found on the x-ray indicated Ewing's Sarcoma.

Frontal radiograph of the chest demonstrating a right tension pneumothorax.

X-ray of a patient's chest showing a right-side aortic arch.

Radiography equipment

Chest x-ray. Frontal view of a male patient.

Your Radiologist Explains Chest X-ray

Chest x-ray. Side view or lateral view of the chest.

Posteroanterior chest on a normal female.

Lateral chest on a normal female.

Lateral chest on someone with pneumonia. The pneumonia is the white substance in the lower part of each lung.

| next 10 items|

 

 

RadiologyInfo.org: The radiology information resource for patients

Developed jointly by:

RSNA Logo ACR Logo
  • Home
  • Procedures A-Z
    • To select a procedure from an alphabetical list, click here.
  • Test/Treatment
    • To select a test or treatment from a list of categories, click here.
  • Body Part/System
    • Abdomen (colon, intestines, kidneys, liver, pelvis, stomach)
    • Breast
    • Chest (respiratory, lungs)
    • Face & Neck (sinuses, carotid arteries, thyroid)
    • Heart & Vascular (arteries, heart, veins)
    • Musculoskeletal (bones, muscles, joints, back, spine, neck)
    • Reproductive (ovaries, prostate, scrotum, uterus)
  • Patient Group
    • Cancer Patients
    • Children's Imaging
    • Men's Imaging
    • Women's Imaging
  • Images/Videos
  • En Español
  • Home |
  • About Us |
  • Contact Us |
  • FAQ |
  • Terms of Use |
  • Privacy |
  • Links |
  • Site Map

Copyright © 2010 Radiological Society of North America, Inc. (RSNA)

To help ensure current and accurate information, we do not permit copying but encourage linking to this site.